NICHEY NICHEY
    #game #seo #socialmedia #best #business
    חיפוש מתקדם
  • התחברות
  • הירשם

  • מצב לילה
  • © 2025 NICHEY
    על אודות • מַדרִיך • צור קשר • מפתחים • מדיניות פרטיות • תנאי שימוש • Code of Conduct • The Nichey World • NeCoSys • Mission • MusicVoice

    בחר שפה

  • Arabic
  • Bengali
  • Chinese
  • Croatian
  • Danish
  • Dutch
  • English
  • Filipino
  • French
  • German
  • Hebrew
  • Hindi
  • Indonesian
  • Italian
  • Japanese
  • Korean
  • Persian
  • Portuguese
  • Russian
  • Spanish
  • Swedish
  • Turkish
  • Urdu
  • Vietnamese

שעון

שעון סלילים

אירועים

עיין באירועים האירועים שלי

בלוג

עיין במאמרים

שׁוּק

המוצרים החדישים

דפים

הדפים שלי דפי לייק

יותר

פוֹרוּם לַחקוֹר פוסטים פופולריים מקומות תעסוקה הצעות מימון
סלילים שעון אירועים שׁוּק בלוג הדפים שלי ראה הכל

| Go Pro | AZ1 Chatter | IMYO FYI | Tell your friends and family about NICHEY & AZ1 |

לְגַלוֹת פוסטים

Posts

משתמשים

דפים

קְבוּצָה

בלוג

שׁוּק

אירועים

פוֹרוּם

מקומות תעסוקה

מימון

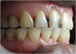
R.R. Dental n' Maxillofacial Clinic
R.R. Dental n' Maxillofacial Clinic
3 שנים

Painless Wisdom Tooth Removal, Tooth Filling & Root Canal Treatment in Surat

Dental procedures like wisdom tooth removal, tooth filling, and root canal treatment can often be intimidating and painful for many people. However, with advances in technology and techniques, it is now possible to undergo these procedures with minimal discomfort.

https://rrmaxfacdentalclinic.com/generaldentistry/

Painless Wisdom Tooth Removal, Tooth Filling & Root Canal Treatment in Surat
Favicon 
rrmaxfacdentalclinic.com

Painless Wisdom Tooth Removal, Tooth Filling & Root Canal Treatment in Surat

R.R. Dental Clinic offers painless wisdom tooth removal, tooth filling and root canal treatment in Surat at an affordable price. Invest in a healthier smile today with our comprehensive dental services!
כמו
תגובה
לַחֲלוֹק
Healthcare
Healthcare  יצר מאמר חדש
3 שנים

Americas Wearable Medical Device Market Share will have Rapid Extension During 2023-2030 | #americas Wearable Medical Device Market Share

Americas Wearable Medical Device Market Share will have Rapid Extension During 2023-2030
טיולים ואירועים

Americas Wearable Medical Device Market Share will have Rapid Extension During 2023-2030

Large advancements in technology and the huge uptake of wearable technology drives the growth of the wearable medical device market in the region.
כמו
תגובה
לַחֲלוֹק
Akash Pande
Akash Pande  יצר מאמר חדש
3 שנים

Transit Ticketing Market – Global Industry Trends and Forecast to 2028 | #transit Ticketing Market

Transit Ticketing Market – Global Industry Trends and Forecast to 2028
חיות מחמד וחיות

Transit Ticketing Market – Global Industry Trends and Forecast to 2028

Transit Ticketing Market – Global Industry Trends and Forecast to 2028
כמו
תגובה
לַחֲלוֹק
lky2021
lky2021
3 שנים

https://www.cheapmcmoutlet.com/

MCM Backpacks Outlet,Cheap MCM Backpacks,Bags,Wallets,iPhone Cases and Accessories Online Sale Store
Favicon 
www.mcmoutletx.com

MCM Backpacks Outlet,Cheap MCM Backpacks,Bags,Wallets,iPhone Cases and Accessories Online Sale Store

Buy Cheap Backpacks,Bags,Wallets,iPhone Cases and Accessories with 75% Price Off,Fast Delivery and Free Worldwide Shipping at www.mcmoutletx.com Cheap MCM Backpacks Outlet Store
כמו
תגובה
לַחֲלוֹק
Australia Legal Writers
Australia Legal Writers
3 שנים

https://www.australialegalwrit....ers.com/blog/100/rec

Receive expert homework help to alleviate all your assignment concerns in one place
Favicon 
www.australialegalwriters.com

Receive expert homework help to alleviate all your assignment concerns in one place

We provide round-the-clock Assignment writing services Australia, and our skilled and courteous support team is available 24x7x365 via email, live chat, phone, and SMS to students all over the world. You can get answers to all your questions and quer
כמו
תגובה
לַחֲלוֹק
CK LOCK
CK LOCK
3 שנים

Locksmith Van Nuys

The first factor to consider is the type of service the Locksmith Van Nuys is providing. If the locksmith is simply making a duplicate key for your property, it is unlikely that they will require identification. However, if the locksmith is performing a more complex service such as changing locks or unlocking a property, they may request identification to ensure that they are not aiding in unauthorized access.


Visit Now : https://www.cklock.com/van-nuys-locksmith.html

Favicon 
www.cklock.com

Van Nuys Locksmith

Los Angeles Locksmith 24-hour mobile service satisfying customers in Los Angeles, Santa Clarita and Ventura counties since 1953.
כמו
תגובה
לַחֲלוֹק
ASAP AIR AC and Heating
ASAP AIR AC and Heating  שינה את תמונת הפרופיל שלו
3 שנים

image
כמו
תגובה
לַחֲלוֹק
Akash Pande
Akash Pande  יצר מאמר חדש
3 שנים

Woodworking CNC Tools Market – Global Industry Trends and Forecast to 2028 | #woodworking CNC Tools Market

Woodworking CNC Tools Market – Global Industry Trends and Forecast to 2028
חיות מחמד וחיות

Woodworking CNC Tools Market – Global Industry Trends and Forecast to 2028

Woodworking CNC Tools Market – Global Industry Trends and Forecast to 2028
כמו
תגובה
לַחֲלוֹק
Healthcare
Healthcare  יצר מאמר חדש
3 שנים

Asia Pacific Beauty Devices Market Share by 2030 will See an Increase in Growth Of 16.6% CAGR | MRFR | #asia Pacific Beauty Devices Market Share

Asia Pacific Beauty Devices Market Share by 2030 will See an Increase in Growth Of 16.6% CAGR | MRFR
טיולים ואירועים

Asia Pacific Beauty Devices Market Share by 2030 will See an Increase in Growth Of 16.6% CAGR | MRFR

The growing demand for beauty products, the industry of the same is still fraught with a variety of genuine issues.
כמו
תגובה
לַחֲלוֹק
Akash Pande
Akash Pande  יצר מאמר חדש
3 שנים

Automotive Backlight Moldings Market – Global Industry Trends and Forecast to 2028 | #automotive Backlight Moldings Market

Automotive Backlight Moldings Market – Global Industry Trends and Forecast to 2028
חיות מחמד וחיות

Automotive Backlight Moldings Market – Global Industry Trends and Forecast to 2028

Automotive Backlight Moldings Market – Global Industry Trends and Forecast to 2028
כמו
תגובה
לַחֲלוֹק
Showing 25488 out of 30009
  • 25484
  • 25485
  • 25486
  • 25487
  • 25488
  • 25489
  • 25490
  • 25491
  • 25492
  • 25493
  • 25494
  • 25495
  • 25496
  • 25497
  • 25498
  • 25499
  • 25500
  • 25501
  • 25502
  • 25503

ערוך הצעה

הוסף נדבך








בחר תמונה
מחק את השכבה שלך
האם אתה בטוח שברצונך למחוק את השכבה הזו?

ביקורות

על מנת למכור את התוכן והפוסטים שלך, התחל ביצירת מספר חבילות. מונטיזציה

שלם באמצעות ארנק

התראת תשלום

אתה עומד לרכוש את הפריטים, האם אתה רוצה להמשיך?

בקש החזר